Jekpe-jekten keıin qazaq sportshysynyń jaraqat alǵany belgili boldy.
«Shaıqastyń birinshi mınýtynda aıaǵymdy syndyryp aldym. Segiz buryshqa munan da kúshti bolyp oralamyn», dep jazdy qazaq oǵlany óziniń ınstagramdaǵy akkaýntynda.
Jekpe-jek • 08 Jeltoqsan, 2021
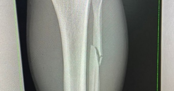
Qazaqstandyq aralas jekpe-jek sheberi Jalǵas Jumaǵulov sońǵy shaıqasynda angololyq Manel Kapege qarsy oktagonǵa shyǵyp, birinshi raýndta jeńilis tapqan bolatyn, dep habarlaıdy Egemen.kz.
Jekpe-jekten keıin qazaq sportshysynyń jaraqat alǵany belgili boldy.
«Shaıqastyń birinshi mınýtynda aıaǵymdy syndyryp aldym. Segiz buryshqa munan da kúshti bolyp oralamyn», dep jazdy qazaq oǵlany óziniń ınstagramdaǵy akkaýntynda.
«Ádilet» partııasyn qurýǵa resmı qadam jasaldy
Saıasat • Búgin, 20:51
Prezıdent «Iаlla» ansambliniń kórkemdik jetekshisi Farrýh Zakırovke quttyqtaý jedelhatyn joldady
Prezıdent • Búgin, 20:28
Bıbisara Asaýbaeva kósh basyna shyqty
Shahmat • Búgin, 19:58
Erlan Qoshanov 155 elden kelgen áriptesterine jańa Konstıtýsııa týraly aıtyp berdi
Parlament • Búgin, 19:36
45 qalada káriz júıesin salý jáne jańartý jumystary júrgiziledi
Aımaqtar • Búgin, 19:10
Balýandarymyz Bishkektegi Azııa chempıonatynda jeti júlde aldy
Kúres • Búgin, 18:58
Alaıaqtyqtyń aldyn alý: Ustazdar arasynda arnaıy aksııa uıymdastyryldy
Zań men Tártip • Búgin, 18:42
Túıtkili kóp gaz máselesi: Nysandarda qaýipsizdik erejeleri nege saqtalmaıdy?
Qoǵam • Búgin, 18:08
Sırflyq servıs: Depýtat «táýelsiz qyzmetker» mártebesin bekitýdi usyndy
Parlament • Búgin, 18:02
Memleket basshysy Túrkııaǵa jumys saparymen barady
Prezıdent • Búgin, 17:30
Elimizdiń energetıkalyq nysandarynda aýqymdy jóndeý jumystary júrip jatyr
Energetıka • Búgin, 17:22
Saq bolyńyz: Alaıaqtar medısına qyzmetkeri retinde habarlasa bastady
Qylmys • Búgin, 17:07
Jánibek Álimhanuly P4P reıtınginde úzdik bestikke endi
Boks • Búgin, 16:59
Qazaqstandaǵy júıeli reformalar Vashıngtonda tanystyryldy
Saıasat • Búgin, 16:46
Uqsas jańalyqtar
«Ádilet» partııasyn qurýǵa resmı qadam jasaldy
Saıasat • Búgin, 20:51
Prezıdent «Iаlla» ansambliniń kórkemdik jetekshisi Farrýh Zakırovke quttyqtaý jedelhatyn joldady
Prezıdent • Búgin, 20:28
Bıbisara Asaýbaeva kósh basyna shyqty
Shahmat • Búgin, 19:58
Erlan Qoshanov 155 elden kelgen áriptesterine jańa Konstıtýsııa týraly aıtyp berdi
Parlament • Búgin, 19:36
45 qalada káriz júıesin salý jáne jańartý jumystary júrgiziledi
Aımaqtar • Búgin, 19:10
Balýandarymyz Bishkektegi Azııa chempıonatynda jeti júlde aldy
Kúres • Búgin, 18:58
Alaıaqtyqtyń aldyn alý: Ustazdar arasynda arnaıy aksııa uıymdastyryldy
Zań men Tártip • Búgin, 18:42
Túıtkili kóp gaz máselesi: Nysandarda qaýipsizdik erejeleri nege saqtalmaıdy?
Qoǵam • Búgin, 18:08
Sırflyq servıs: Depýtat «táýelsiz qyzmetker» mártebesin bekitýdi usyndy
Parlament • Búgin, 18:02
Memleket basshysy Túrkııaǵa jumys saparymen barady
Prezıdent • Búgin, 17:30
Elimizdiń energetıkalyq nysandarynda aýqymdy jóndeý jumystary júrip jatyr
Energetıka • Búgin, 17:22
Saq bolyńyz: Alaıaqtar medısına qyzmetkeri retinde habarlasa bastady
Qylmys • Búgin, 17:07
Jánibek Álimhanuly P4P reıtınginde úzdik bestikke endi
Boks • Búgin, 16:59
Qazaqstandaǵy júıeli reformalar Vashıngtonda tanystyryldy
Saıasat • Búgin, 16:46