Tanym • 12 Aqpan, 2025

Ǵalam ǵajaptary: Mıdyń jańa qabaty

60 ret
kórsetildi
1 mın
oqý úshin

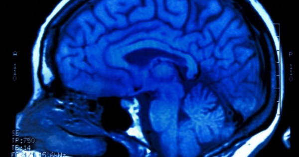
Ǵalymdar adam mıynyń qury­lymyna qatysty tańǵalarlyq jańalyq ashyp, buryn bel­gisiz bolyp kelgen juqa qabatty anyq­tady.

Ǵalam ǵajaptary: Mıdyń jańa qabaty

Bul qabat mıdyń syrtqy qyrtysy men ishki qurylymdary arasynda orna­lasqan jáne onyń neırondyq baılanys­tardy retteýge qatysatyny baıqalǵan. Zertteýshiler bul jańalyqtyń alsgeımer, parkınson sııaqty nevrologııa­­lyq ­aýrýlardy emdeýde jańa múmkindik ­tý­ǵyzýy ǵajap emes.

 

Daıyndaǵan –

Erlan KIIKBAI,

L.N.Gýmılev atyndaǵy EUÝ stýdenti

Sońǵy jańalyqtar